电话:
+86 (0512) 65829739
传真:
+86 (010) 6788 5057
电子邮件:
orders@antibodies-online.cn

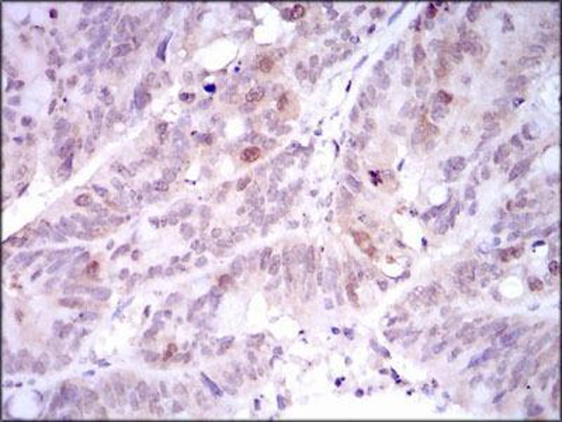
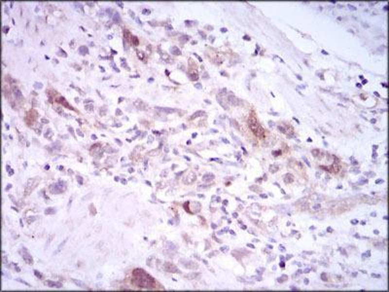
PLK1 抗体 (AA 331-508)

Cited in 3+ publications. The 小鼠 单克隆 anti-PLK1 antibody (Clone 3C11) (ABIN1098105) specifically detects PLK1 in WB, ELISA, IHC 和 FACS. The antibody is reactive with 人 和 小鼠 samples.
产品编号 ABIN1098105
发货至: 中国
Contact our Customer Service for availability and price in your country. Contact Info

Our Local Distributor

中国
北京 101111
No. 88 KeChuang 6th Street
Beijing Economic Technological Development Area
Room 801-803
4A Biotech Co.,Ltd.
Tel +86 (0512) 65829739 传真 +86 (010) 6788 5057

Quick Overview for PLK1 抗体 (AA 331-508) (ABIN1098105)

抗原

See all PLK1 抗体
PLK1 (Polo-Like Kinase 1 (PLK1))

适用

  • 150
  • 59
  • 53
  • 14
  • 7
  • 6
  • 5
  • 5
  • 4
  • 3
  • 3
  • 2
  • 1
  • 1
  • 1
  • 1
人, 小鼠

宿主

  • 121
  • 36
  • 2
  • 2
小鼠

克隆类型

  • 106
  • 55
单克隆

标记

  • 85
  • 8
  • 5
  • 4
  • 4
  • 4
  • 4
  • 4
  • 4
  • 4
  • 2
  • 2
  • 2
  • 2
  • 2
  • 2
  • 2
  • 2
  • 2
  • 2
  • 2
  • 2
  • 2
  • 1
  • 1
  • 1
  • 1
  • 1
  • 1
  • 1
  • 1
  • 1
This PLK1 antibody is un-conjugated

应用范围

  • 133
  • 51
  • 48
  • 30
  • 28
  • 27
  • 26
  • 19
  • 7
  • 5
  • 4
  • 4
  • 3
  • 2
  • 1
  • 1
  • 1
Western Blotting (WB), ELISA, Immunohistochemistry (IHC), Flow Cytometry (FACS)

克隆位点

3C11
  • 抗原表位

    • 30
    • 23
    • 15
    • 12
    • 8
    • 5
    • 3
    • 3
    • 2
    • 2
    • 2
    • 2
    • 2
    • 2
    • 2
    • 2
    • 2
    • 1
    • 1
    • 1
    • 1
    • 1
    • 1
    • 1
    • 1
    • 1
    • 1
    • 1
    • 1
    • 1
    • 1
    • 1
    • 1
    • 1
    • 1
    • 1
    AA 331-508

    原理

    PLK1 Antibody

    纯化方法

    Purified antibody

    免疫原

    Purified recombinant fragment of human PLK1 (AA: 331-508) expressed in E. Coli.

    亚型

    IgG1
  • 应用备注

    ELISA: 1/10000

    FCM: 1/200 - 1/400

    限制

    仅限研究用
  • 状态

    Liquid

    缓冲液

    Purified antibody in PBS with 0.05 % sodium azide.

    储存液

    Sodium azide

    注意事项

    This product contains Sodium azide: a POISONOUS AND HAZARDOUS SUBSTANCE which should be handled by trained staff only.

    储存条件

    4 °C,-20 °C

    储存方法

    Store at 4°C short term. Aliquot and store at -20°C long term. Avoid freeze/thaw cycles.
  • Lin, Sun, Wang: "Suppression of Polo like kinase 1 (PLK1) by p21(Waf1) mediates the p53-dependent prevention of caspase-independent mitotic death." in: Cellular signalling, Vol. 23, Issue 11, pp. 1816-23, (2011) (PubMed).

    Yoshioka, Kimura, Saio, Era, Okano: "Plk1 is negatively regulated by RNF8." in: Biochemical and biophysical research communications, Vol. 410, Issue 1, pp. 57-61, (2011) (PubMed).

    Susilowati, Okamura, Hirota, Shono, Yoshida, Murakami, Tabata, Nagamune, Haneji, Miyake: "Intermedilysin induces EGR-1 expression through calcineurin/NFAT pathway in human cholangiocellular carcinoma cells." in: Biochemical and biophysical research communications, Vol. 404, Issue 1, pp. 57-61, (2011) (PubMed).

  • 抗原

    PLK1 (Polo-Like Kinase 1 (PLK1))

    别名

    PLK1

    背景

    Polo-like kinase 1 (Plk1) plays key roles in many aspects of mitosis. Suppression of Plk1 by p21(Waf1) is responsible for p53-dependent protection against adriamycin-induced caspase-independent mitotic death.

    分子量

    68 kDa

    基因ID

    5347

    UniProt

    P53350

    途径

    Cell Division Cycle, M Phase
You are here: