CEACAM1 抗体
Our Local Distributor
北京 101111
Quick Overview for CEACAM1 抗体 (ABIN108725)
抗原
See all CEACAM1 抗体适用
宿主
克隆类型
标记
应用范围
克隆位点
-
-
特异性
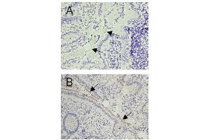
- GM8G5 recognises CEACAM1 transiently expressed on the cell surface of transfected BOSC cells as well as the naturally expressed protein (Fig. 2, kindly provided by Dr. R. Riesenberg, Labor für Tumorimmunologie, Urologische Klinik, Klinikum Grossh
-
纯化方法
- Protein G
-
免疫原
- genetic immunisation with cDNA encoding the extracellular region of human CEACAM1-A2
-
亚型
- IgG1
-
-
-
-
应用备注
-
Flow cytometry: 1.2 µg/10^6 cells
CELISA: 1:200 - 1:400
ELISA: 1:200 - 1:400
Immunohistology: 10 µg/mL (on cryosections)
For each application a titration should be performed to determine the optimal concentration. -
说明
-
Synonyms: CD66a, BGP, biliary glycoprotein I
-
限制
- 仅限研究用
-
-
-
缓冲液
- PBS, pH 7.2
-
注意事项
- Avoid repeated freezing and thawing.
-
储存条件
- 4 °C
-
储存方法
- short term: 2 °C - 8 °C, long term: -20 °C
-
-
- CEACAM1 (Carcinoembryonic Antigen-Related Cell Adhesion Molecule 1 (CEACAM1))
-
别名
- CEACAM1
-
背景
- CEACAM1 (BGP) belongs to the carcinoembryonic antigen (CEA) gene family. CEACAM1 expression is downregulated in many tumors indicating a tumor-suppressive function. GM8G5 was generated by genetic immunisation and can be used to distinguish CEACAM1 from all other CEACAMs.
-
UniProt
- P13688
抗原
-