电话:
+86 (0512) 65829739
传真:
+86 (010) 6788 5057
电子邮件:
orders@antibodies-online.cn

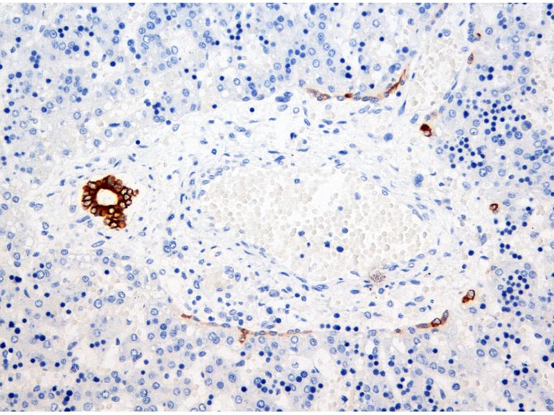
Keratin 7/17/19 抗体

The 小鼠 单克隆 anti-Keratin 7/17/19 antibody (Clone 4F5) (ABIN108432) specifically detects Keratin 7/17/19 in IHC 和 WB. The antibody is reactive with 人 samples.
产品编号 ABIN108432
发货至: 中国
Contact our Customer Service for availability and price in your country. Contact Info

Our Local Distributor

中国
北京 101111
No. 88 KeChuang 6th Street
Beijing Economic Technological Development Area
Room 801-803
4A Biotech Co.,Ltd.
Tel +86 (0512) 65829739 传真 +86 (010) 6788 5057

Quick Overview for Keratin 7/17/19 抗体 (ABIN108432)

抗原

Keratin 7/17/19 (KRT7/17/19)

适用

宿主

  • 1
小鼠

克隆类型

  • 1
单克隆

标记

  • 1
This Keratin 7/17/19 antibody is un-conjugated

应用范围

  • 1
  • 1
  • 1
Immunohistochemistry (IHC), Western Blotting (WB)

克隆位点

4F5
  • 特异性

    The antibody recognizes cytokeratins nos. 7, 17 and 19 typical for many simple epithelial cells but is found also in cells in squamous epithelia.

    免疫原

    Monoclonal antibody to cytokeratin is derived from the hybridoma produced by fusion between myeloma cells and Balb/c spleen cells. Purified cytokeratins from cultured pig kidney epithelial cells were used as immunogen.

    亚型

    IgG1
  • 应用备注

    No reactivity with paraffin sections. Working dilution in western blotting is at least 1:1000

    限制

    仅限研究用
  • 储存条件

    4 °C
  • 抗原

    Keratin 7/17/19 (KRT7/17/19)

    别名

    Cytokeratin 7,17,19

    背景

    Monoclonal Antibody to Human Cytoskeletal Polypeptides
You are here: