电话:
+86 (0512) 65829739
传真:
+86 (010) 6788 5057
电子邮件:
orders@antibodies-online.cn

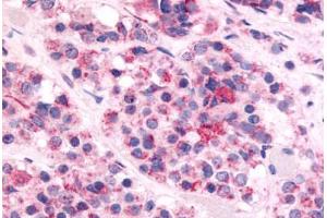
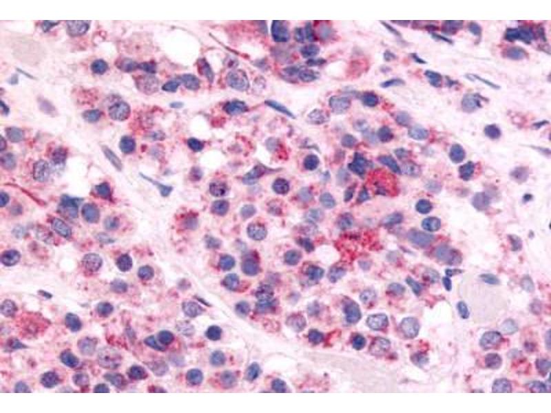
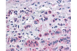
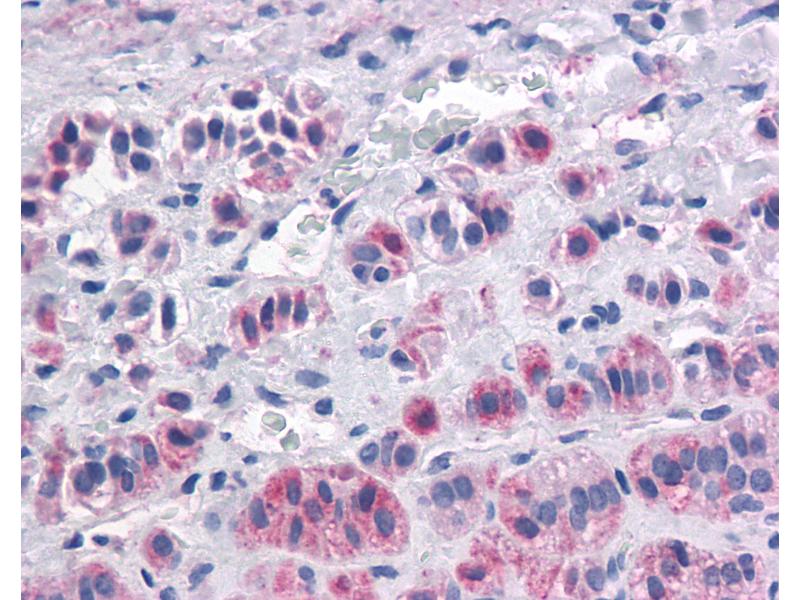
HCRTR1 抗体 (C-Term)

The 兔 多克隆 anti-HCRTR1 antibody (ABIN1048953) specifically detects HCRTR1 in IHC 和 IHC (p). The antibody is reactive with 人, 犬, 马, 猴 和 Pig samples.
产品编号 ABIN1048953
发货至: 中国
Contact our Customer Service for availability and price in your country. Contact Info

Our Local Distributor

中国
北京 101111
No. 88 KeChuang 6th Street
Beijing Economic Technological Development Area
Room 801-803
4A Biotech Co.,Ltd.
Tel +86 (0512) 65829739 传真 +86 (010) 6788 5057

Quick Overview for HCRTR1 抗体 (C-Term) (ABIN1048953)

抗原

See all HCRTR1 抗体
HCRTR1 (Hypocretin (Orexin) Receptor 1 (HCRTR1))

适用

  • 65
  • 22
  • 12
  • 3
  • 2
  • 2
  • 1
  • 1
  • 1
  • 1
人, 犬, 马, 猴, Pig

宿主

  • 66
  • 1
  • 1
  • 1

克隆类型

  • 68
  • 1
多克隆

标记

  • 38
  • 3
  • 3
  • 3
  • 1
  • 1
  • 1
  • 1
  • 1
  • 1
  • 1
  • 1
  • 1
  • 1
  • 1
  • 1
  • 1
  • 1
  • 1
  • 1
  • 1
  • 1
  • 1
  • 1
  • 1
  • 1
This HCRTR1 antibody is un-conjugated

应用范围

  • 44
  • 25
  • 13
  • 13
  • 10
  • 9
  • 8
  • 3
  • 2
  • 1
  • 1
  • 1
Immunohistochemistry (IHC), Immunohistochemistry (Paraffin-embedded Sections) (IHC (p))
  • 抗原表位

    • 15
    • 8
    • 5
    • 5
    • 4
    • 3
    • 3
    • 2
    • 2
    • 2
    • 2
    • 2
    • 1
    • 1
    • 1
    • 1
    • 1
    • 1
    • 1
    • 1
    • 1
    • 1
    • 1
    C-Term

    特异性

    Human HCRTR1 / Orexin Receptor 1. BLAST analysis of the peptide immunogen showed no homology with other human proteins.

    预测反应

    Percent identity with other species by BLAST analysis: Human, Gorilla, Gibbon, Monkey, Dog, Horse, Pig (100%) Elephant, Bovine (94%) Marmoset, Panda (88%) Bat (81%).

    纯化方法

    Immunoaffinity purified

    免疫原

    Synthetic 16 amino acid peptide from C-terminus of human HCRTR1 / Orexin Receptor 1. Percent identity with other species by BLAST analysis: Human, Gorilla, Gibbon, Monkey, Dog, Horse, Pig (100%), Elephant, Bovine (94%), Marmoset, Panda (88%), Bat (81%).

    Type of Immunogen: Synthetic peptide
  • 应用备注

    Approved: IHC, IHC-P (14 μg/mL)

    说明

    Target Species of Antibody: Human

    实验流程

    The IHC-pro Immunohistochemistry Protocol

    Tissue Preparation
    Formalin fixation and embedding in paraffin wax

    Tissue Sectioning
    Make 4-µm sections and place on pre-cleaned and charged microscope slides.
    Heat in a tissue-drying oven for 45 minutes at 60°C
    Deparaffinization
    Wash slides in 3 changes of xylene – 5 minutes each at room temperature.

    Rehydration
    Wash slides in 3 changes of 100% alcohol – 3 minutes each at room temperature.
    Wash slides in 2 changes of 95% alcohol – 3 minutes each at room temperature.
    Wash slides in 1 change of 80% alcohol – 3 minutes at room temperature.
    Rinse slides in gentle running distilled water – 5 minutes at room temperature.

    Antigen retrieval
    Steam slides in 0.01 M sodium citrate buffer, pH 6.0 at 99-100°C - 20 minutes
    Remove from heat and let stand at room temperature in buffer - 20 minutes
    Rinse in 1X TBS with Tween (TBST) – 1 minute at room temperature.

    Immunostaining
    Do not allow tissues to dry at any time during the staining procedure.
    Apply a universal protein block – 20 minutes at room temperature.
    Drain protein block from slides, apply diluted primary antibody – 45 minutes at room temperature.
    Rinse slides in 1X TBST - 1 minute at room temperature.
    Apply a biotinylated secondary antibody (specific to the host of the primary antibody) - 30 minutes at room temperature.
    Rinse slides 1X TBST – 1 minute at room temperature.
    Apply alkaline phosphatase streptavidin – 30 minutes at room temperature.
    Rinse slides in 1X TBST - 1 minute at room temperature.
    Apply alkaline phosphatase chromogen substrate – 30 minutes at room temperature.
    Wash slides in distilled water – 1 minute at room temperature.

    Dehydrate
    This method should only be used if the chromogen substrate is alcohol insoluble.
    Wash slides in 2 changes of 80% alcohol – 1 minute each at room temperature.
    Wash slides in 2 changes of 95% alcohol – 1 minute each at room temperature.
    Wash slides in 3 changes of 100% alcohol – 1 minute each at room temperature.
    Wash slides in 3 changes of xylene – 1 minute each at room temperature.
    Apply coverslip

    限制

    仅限研究用
  • 状态

    Liquid

    浓度

    Lot specific

    缓冲液

    PBS, less than 0.1 % sodium azide.

    储存液

    Sodium azide

    注意事项

    This product contains Sodium azide: a POISONOUS AND HAZARDOUS SUBSTANCE which should be handled by trained staff only.

    储存条件

    4 °C,-20 °C

    储存方法

    Aliquot and store undiluted at -20°C or below for up to 1 year. Can be stored undiluted at 4°C for up to 1 month. Avoid freeze-thaw cycles.

    有效期

    12 months
  • 抗原

    HCRTR1 (Hypocretin (Orexin) Receptor 1 (HCRTR1))

    别名

    OX1R / Orexin Receptor 1

    背景

    Name/Gene ID: HCRTR1
    Subfamily: Orexin
    Family: GPCR

    Synonyms: HCRTR1, Hcrt receptor 1, Hypocretin receptor 1, Hypocretin type 1 receptor, Hypocretin receptor-1, Orexin receptor type 1, Orexin type 1 receptor, Orexin-1 receptor, OX1 receptor, Orexin a receptor, Orexin receptor-1, OX-R1, Orexin receptor 1, Ox1-R, OX1R, Hypocretin (orexin) receptor 1, Hypocretin receptor type 1, Ox-1-R

    基因ID

    3061

    途径

    Feeding Behaviour
You are here: