电话:
+86 (0512) 65829739
传真:
+86 (010) 6788 5057
电子邮件:
orders@antibodies-online.cn

gamma-Tubulin GCP2 (AA 2-194) 抗体

There are 2+ publications for this product available. The 小鼠 单克隆 anti-gamma-Tubulin GCP2 antibody is suitable to detect gamma-Tubulin GCP2 in samples from 人, 小鼠, Pig 和 大鼠. It has been validated for ICC, IHC (p), IP 和 WB.
产品编号 ABIN1043030
发货至: 中国
Contact our Customer Service for availability and price in your country. Contact Info

Our Local Distributor

中国
北京 101111
No. 88 KeChuang 6th Street
Beijing Economic Technological Development Area
Room 801-803
4A Biotech Co.,Ltd.
Tel +86 (0512) 65829739 传真 +86 (010) 6788 5057

Quick Overview for gamma-Tubulin GCP2 (AA 2-194) 抗体 (ABIN1043030)

抗原

gamma-Tubulin GCP2

适用

人, 小鼠, Pig, 大鼠

宿主

小鼠

克隆类型

单克隆

应用范围

Immunocytochemistry (ICC), Immunohistochemistry (Paraffin-embedded Sections) (IHC (p)), Immunoprecipitation (IP), Western Blotting (WB)

克隆位点

GCP2-01
  • 抗原表位

    AA 2-194

    原理

    Anti-gamma-Tubulin GCP2 Purified

    交叉反应 (详细)

    Human, Porcine, Mouse, Rat

    产品特性

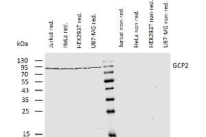
    The mouse monoclonal antibody GCP2-01 recognizes gamma-tubulin complex component 2 (GCP2), a 95-103 kDa intracellular protein. It recognizes also phosphorylated GCP2.

    纯化方法

    Purified by protein-A affinity chromatography.

    纯度

    > 95 % (by SDS-PAGE)

    免疫原

    GST-fusion protein containing amino acids 2-194 of mouse GCP2

    亚型

    IgG2b, kappa
  • 应用备注

    Western blotting: Recommended dilution: 1-2 μg/mL, reducing conditions.

    限制

    仅限研究用
  • 状态

    Liquid

    浓度

    1 mg/mL

    缓冲液

    Phosphate buffered saline (PBS), pH 7.4, 15 mM sodium azide

    储存液

    Sodium azide

    注意事项

    This product contains Sodium azide: a POISONOUS AND HAZARDOUS SUBSTANCE which should be handled by trained staff only.

    注意事项

    Do not freeze

    储存条件

    4 °C

    储存方法

    Store at 2-8°C. Do not freeze.
  • Dráberová, DAgostino, Caracciolo, Sládková, Sulimenko, Sulimenko, Sobol, Maounis, Tzelepis, Mahera, K?en, Legido, Giordano, Mörk, Hozák, Dráber, Katsetos: "Overexpression and Nucleolar Localization of ?-Tubulin Small Complex Proteins GCP2 and GCP3 in Glioblastoma." in: Journal of neuropathology and experimental neurology, Vol. 74, Issue 7, pp. 723-42, (2015) (PubMed).

    Ho?ejší, Vinopal, Sládková, Dráberová, Sulimenko, Sulimenko, Vosecká, Philimonenko, Hozák, Katsetos, Dráber: "Nuclear ?-tubulin associates with nucleoli and interacts with tumor suppressor protein C53." in: Journal of cellular physiology, Vol. 227, Issue 1, pp. 367-82, (2011) (PubMed).

  • 抗原

    gamma-Tubulin GCP2

    背景

    Tubulin gamma complex associated protein 2,Gamma tubulin complex component 2 (GCP2) is 95-103 kDa protein which associates with two molecules of gamma tubulin and one molecule of gamma tubulin complex component 3 (GCP3), to form the gamma tubulin small complexes (gammaTuSCs). These complexes interact with GCP4, 5, and 6 to form the gamma tubulin ring complexes (gammaTuRCs), which are embedded in the microtubule organizing center matrix where they nucleate microtubules. The gammaTuRCs are also involved in the regulation of microtubule plus and minus end dynamics. Components of gamma tubulin complexes are highly conservative in eukaryotes.,GCP-2, GTCC2, GTC2

    基因ID

    10844

    UniProt

    Q9BSJ2
You are here: