电话:
+86 (0512) 65829739
传真:
+86 (010) 6788 5057
电子邮件:
orders@antibodies-online.cn

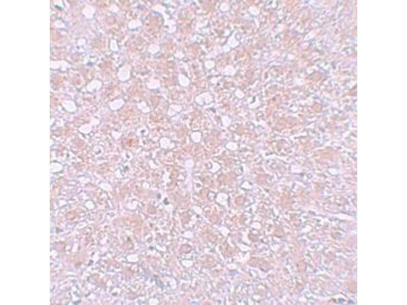
alpha Fetoprotein 抗体 (N-Term)

The 兔 多克隆 anti-alpha Fetoprotein antibody is suitable to detect alpha Fetoprotein in samples from 人, 小鼠 和 大鼠. It has been validated for WB, ELISA 和 IHC.
产品编号 ABIN1031219
发货至: 中国
Contact our Customer Service for availability and price in your country. Contact Info

Our Local Distributor

中国
北京 101111
No. 88 KeChuang 6th Street
Beijing Economic Technological Development Area
Room 801-803
4A Biotech Co.,Ltd.
Tel +86 (0512) 65829739 传真 +86 (010) 6788 5057

Quick Overview for alpha Fetoprotein 抗体 (N-Term) (ABIN1031219)

抗原

See all alpha Fetoprotein (AFP) 抗体
alpha Fetoprotein (AFP) (alpha-Fetoprotein (AFP))

适用

  • 270
  • 56
  • 47
  • 29
  • 24
  • 16
  • 8
  • 4
  • 4
  • 2
  • 1
人, 小鼠, 大鼠

宿主

  • 162
  • 155
  • 9
  • 3
  • 2
  • 2

克隆类型

  • 183
  • 143
  • 3
多克隆

标记

  • 171
  • 38
  • 30
  • 17
  • 8
  • 8
  • 4
  • 3
  • 3
  • 3
  • 3
  • 3
  • 3
  • 3
  • 3
  • 3
  • 3
  • 3
  • 3
  • 2
  • 2
  • 2
  • 1
  • 1
  • 1
  • 1
  • 1
  • 1
  • 1
  • 1
  • 1
  • 1
  • 1
  • 1
  • 1
This alpha Fetoprotein antibody is un-conjugated

应用范围

  • 159
  • 113
  • 109
  • 86
  • 82
  • 51
  • 46
  • 27
  • 23
  • 16
  • 15
  • 14
  • 9
  • 7
  • 6
  • 5
  • 5
  • 5
  • 4
  • 3
  • 3
  • 3
  • 3
  • 2
  • 2
  • 2
  • 2
  • 2
  • 1
  • 1
  • 1
  • 1
  • 1
Western Blotting (WB), ELISA, Immunohistochemistry (IHC)
  • 抗原表位

    • 13
    • 9
    • 8
    • 8
    • 8
    • 6
    • 5
    • 5
    • 4
    • 4
    • 4
    • 3
    • 3
    • 3
    • 3
    • 3
    • 2
    • 2
    • 2
    • 2
    • 2
    • 2
    • 1
    • 1
    • 1
    • 1
    • 1
    • 1
    • 1
    • 1
    • 1
    • 1
    • 1
    • 1
    • 1
    N-Term

    纯化方法

    Affinity chromatography purified via peptide column
  • 应用备注

    AFP antibody can be used for detection of AFP by Western blot at 1 - 2 μg/mL.

    限制

    仅限研究用
  • 状态

    Liquid

    浓度

    1 mg/mL

    缓冲液

    PBS

    储存液

    Sodium azide

    注意事项

    This product contains sodium azide: a POISONOUS AND HAZARDOUS SUBSTANCE which should be handled by trained staff only.

    储存条件

    4 °C
  • 抗原

    alpha Fetoprotein (AFP) (alpha-Fetoprotein (AFP))

    别名

    AFP

    途径

    C21-Steroid Hormone Metabolic Process
You are here: