电话:
+86 (0512) 65829739
传真:
+86 (010) 6788 5057
电子邮件:
orders@antibodies-online.cn

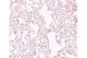
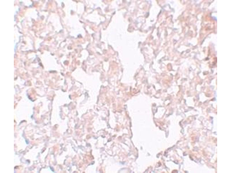
MFSD1 抗体 (Middle Region)

The 兔 多克隆 anti-MFSD1 antibody is suitable to detect MFSD1 in samples from 人, 小鼠 和 大鼠. It has been validated for ELISA, WB 和 IHC.
产品编号 ABIN1031003
发货至: 中国
Contact our Customer Service for availability and price in your country. Contact Info

Our Local Distributor

中国
北京 101111
No. 88 KeChuang 6th Street
Beijing Economic Technological Development Area
Room 801-803
4A Biotech Co.,Ltd.
Tel +86 (0512) 65829739 传真 +86 (010) 6788 5057

Quick Overview for MFSD1 抗体 (Middle Region) (ABIN1031003)

抗原

MFSD1 (Major Facilitator Superfamily Domain Containing 1 (MFSD1))

适用

  • 9
  • 4
  • 4
  • 2
  • 2
  • 2
  • 2
  • 2
  • 2
  • 1
  • 1
  • 1
  • 1
  • 1
  • 1
人, 小鼠, 大鼠

宿主

  • 9

克隆类型

  • 9
多克隆

标记

  • 5
  • 2
  • 1
  • 1
This MFSD1 antibody is un-conjugated

应用范围

  • 5
  • 4
  • 1
  • 1
  • 1
  • 1
ELISA, Western Blotting (WB), Immunohistochemistry (IHC)
You are here: